ConnectGalaxy Logo
    • Advanced Search
  • Guest
    • Login
    • Register
    • Night mode
DiagnostiX Canada Cover Image
User Image
Drag to reposition cover
DiagnostiX Canada Profile Picture
DiagnostiX Canada

@diagnostix

  • Timeline
  • Groups
  • Likes
  • Friends
  • Photos
  • Videos
  • Reels
DiagnostiX Canada profile picture DiagnostiX Canada profile picture
DiagnostiX Canada
3 w

Dependable Diagnostic Services Built Around Patient Needs

DiagnostiX is dedicated to delivering accurate and efficient diagnostic care in a patient-focused setting. Our clinics combine advanced imaging and laboratory technology with a commitment to comfort, clarity, and respect. We understand the importance of timely results and clear communication, ensuring every patient feels informed and supported. With accessible locations across Quebec, DiagnostiX continues to provide reliable diagnostic services that help guide confident healthcare decisions.

Visit us: https://berry.work/diagnostix

Like
Comment
Share
DiagnostiX Canada profile picture DiagnostiX Canada profile picture
DiagnostiX Canada
4 w

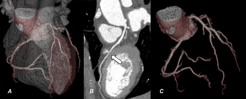
CT Coronarographie Privé Montréal – Advanced Cardiac Imaging

CT coronarographie privée in Montreal provides detailed visualization of the coronary arteries to assess heart health without invasive procedures. This advanced imaging exam helps detect plaque buildup, arterial narrowing, and early signs of coronary artery disease. The scan is fast, accurate, and interpreted by experienced radiologists.

Visit us: https://diagnostix.ca/ct-coronarographie-ct-scan/

CT Coronarographie Privée À Montréal | Scanner Cardiaque Rapide
diagnostix.ca

CT Coronarographie Privée À Montréal | Scanner Cardiaque Rapide

Réservez votre coronarographie CT privée à Montréal. Scanner cardiaque rapide et précis, réalisé par des spécialistes cardiovasculaires.
Like
Comment
Share
DiagnostiX Canada profile picture DiagnostiX Canada profile picture
DiagnostiX Canada
5 w

Private Medical Imaging in Montreal: Advancing Gastrointestinal Diagnosis with Virtual Colonoscopy

Private medical imaging in Montreal is transforming how gastrointestinal conditions are diagnosed, with non-invasive options gaining strong patient preference. A private Virtual Colonoscopy exam (examen Coloscopie Virtuelle privé) uses low-dose CT technology to produce detailed 2D and 3D images of the colon and rectum in under 20 minutes. This approach supports early detection of conditions such as polyps, colorectal cancer, and inflammatory bowel disease, while prioritizing comfort, speed, and diagnostic accuracy without the need for sedation or invasive procedures.

Read more: https://www.prlog.org/13118049....issue-diagnoses.html

Private Medical Imaging in Montreal is Revolutionizing GI Issue Diagnoses -- DiagnostiX | PRLog
www.prlog.org

Private Medical Imaging in Montreal is Revolutionizing GI Issue Diagnoses -- DiagnostiX | PRLog

Private Medical Imaging in Montreal is Revolutionizing GI Issue Diagnoses. People prefer non-invasive testing, making a private virtual colonoscopy (examen coloscopie virtuelle privé) increasingly popular. DiagnostiX offers rapid medical imaging in M
Like
Comment
Share
DiagnostiX Canada profile picture DiagnostiX Canada profile picture
DiagnostiX Canada
5 w

Trusted Diagnostic Expertise Focused on Patient Care

At DiagnostiX, we deliver reliable diagnostic services that support informed healthcare decisions. Our clinics use advanced imaging and laboratory technology to provide accurate, timely results in a comfortable setting. We believe patient care goes beyond technology, which is why our team prioritizes clear communication, empathy, and professionalism. With accessible locations across Quebec, DiagnostiX is committed to making high-quality diagnostics efficient, reassuring, and centered on the needs of every patient we serve.

Visit us: https://hasster.com/diagnostix

Like
Comment
Share
DiagnostiX Canada profile picture DiagnostiX Canada profile picture
DiagnostiX Canada
5 w

Understanding Diagnostic Ultrasound and Its Role in Preventive Healthcare

Diagnostic ultrasound is a medical imaging technique that uses high-frequency sound waves to visualize internal organs, tissues, and blood flow. Unlike imaging methods that involve radiation, ultrasound is painless and safe for repeated use. Its role in preventive healthcare is significant, as it helps detect hidden conditions early and supports ongoing monitoring of chronic illnesses. Ultrasound examinations are commonly used to assess abdominal organs, reproductive health, thyroid conditions, and vascular health, making them a valuable tool in routine preventive screenings.

Read more: https://diagnostix.ca/ultrasou....y-disease-detection/

How Ultrasound Helps Detect Early Disease
diagnostix.ca

How Ultrasound Helps Detect Early Disease

Learn why regular health screenings matter and how ultrasound plays a key role in early disease detection for better treatment outcomes.
Like
Comment
Share
 Load more posts
    Info
    • Male
    • posts 9
  • Living in Canada
  • Located in Canada
  • https://diagnostix.ca
About

DiagnostiX believes that patients deserve reliable diagnostics delivered with empathy. Using state-of-the-art technology, our clinics provide a wide range of imaging and testing services designed for clarity and speed. Our team ensures that every patient feels supported and understood, offering guidance throughout the process. With accessible locations and a focus on streamlined care, DiagnostiX empowers patients to take control of their health with accurate information and confidence. We remain committed to excellence in every diagnostic step.

    Albums 
    (0)
    Friends 
    (0)
    Likes 
    (1)
    Groups 
    (0)

© 2026 ConnectGalaxy

Language

  • About
  • Directory
  • Blog
  • Contact Us
  • Developers
  • More
    • Privacy Policy
    • Terms of Use
    • Request a Refund
    • Guest Post
    • Data Deletion Policy
    • Cookie Policy

Unfriend

Are you sure you want to unfriend?

Report this User

Important!

Are you sure that you want to remove this member from your family?

You have poked Diagnostix

New member was successfully added to your family list!

Crop your avatar

avatar

© 2026 ConnectGalaxy

  • Home
  • About
  • Contact Us
  • Privacy Policy
  • Terms of Use
  • Request a Refund
  • Blog
  • Developers
  • More
    • Guest Post
    • Data Deletion Policy
    • Cookie Policy
  • Language

© 2026 ConnectGalaxy

  • Home
  • About
  • Contact Us
  • Privacy Policy
  • Terms of Use
  • Request a Refund
  • Blog
  • Developers
  • More
    • Guest Post
    • Data Deletion Policy
    • Cookie Policy
  • Language

Comment reported successfully.

Post was successfully added to your timeline!

You have reached your limit of 5000 friends!

File size error: The file exceeds allowed the limit (92 MB) and can not be uploaded.

Your video is being processed, We’ll let you know when it's ready to view.

Unable to upload a file: This file type is not supported.

We have detected some adult content on the image you uploaded, therefore we have declined your upload process.

Share post on a group

Share to a page

Share to user

Your post was submitted, we will review your content soon.

To upload images, videos, and audio files, you have to upgrade to pro member. Upgrade To Pro

Edit Offer

0%

Add tier








Select an image
Delete your tier
Are you sure you want to delete this tier?

Reviews

In order to sell your content and posts, start by creating a few packages. Monetization

Pay By Wallet

Add Package

Delete your address

Are you sure you want to delete this address?

Remove your monetization package

Are you sure you want to delete this package?

Unsubscribe

Are you sure you want to unsubscribe from this user? Keep in mind that you won't be able to view any of their monetized content.

Payment Alert

You are about to purchase the items, do you want to proceed?
Request a Refund

Language

  • Arabic
  • Bengali
  • Chinese
  • Croatian
  • Danish
  • Dutch
  • English
  • Filipino
  • French
  • German
  • Hebrew
  • Hindi
  • Indonesian
  • Italian
  • Japanese
  • Korean
  • Persian
  • Portuguese
  • Russian
  • Spanish
  • Swedish
  • Turkish
  • Urdu
  • Vietnamese